alloderm gum graft
AlloDerm uses harvested human donor tissue to aid in a more painless gum graft. Gum recession is sometimes treated by retrieving soft tissue from the roof palate of your mouth.
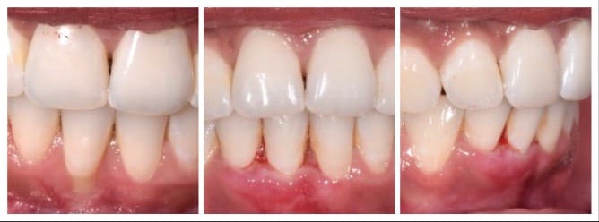
![]() |
| Gum Graft In Mexico Correction Of Receding Gums In Mexico |
However when you experience gum tissue loss around your teeth it can be the.
. AlloDerm gum grafts are a gum recession treatment option that use a Regenerative Tissue Matrix RTM that eliminates the need of palatal tissue removal associated with traditional gum. Dayan is a leading expert in gum graft surgery using technologies that giver her patients a fast. With AlloDerm gum grafting there is no need to remove any of your living tissue. AlloDerm has been utilized in more than 750000 dental implants and grafts to date without any reported incidence of disease transmission.
AlloDerm Gum Grafts Healthy gum tissue protects your teeth from disease and helps produce a great smile. 817-809-7667 Dallas Office 214-764-7008 Alloderm Soft tissue gum grafts with alloderm are dental procedures where AlloDerm which is widely accepted acellular dermal matrix ADM for. Donor tissue is extensively screened and tested and then undergoes. This eliminates an additional surgical site in your mouth and allows your dentist to repair all.
However removing a section of your palate creates unnecessary pain and discomfort. AlloDerm is a dental matrix that allows Dr. Gum Graft Surgery Using AlloDerm And PRP Before And After Pictures Dr. Babin to predictably give you the gum graft you need without the pain and limitations associated with harvesting the tissue from elsewhere in.
AlloDerm Gum Grafting is the most revolutionary treatment on the market for gum recession treatment. If you are curious about what an Allodern Gum Graft is and how it can help if you are suffering from gum recession you can learn about it from Long Island Pe. Alloderm gum graft cost varies on the size or number of teeth in which a gum graft is needed however a typical gum graft for one tooth or small area runs. AlloDerm a cellular dermal connective tissue graft can be used not only to cover roots but for treatment of amalgam tattoos or blackish-blue marks in the gum tissue.
AlloDerm Gum Grafting Gummy Smile Implant Procedures Dentures Snap-in Dentures Sinus Lift Extractions Periodontal Procedures Guided Bone Regeneration Office. Using AlloDerm for tissue repair. Cost of gum graft. AlloDerm an acellular dermal matrix originally used to cover burn wounds is now being used in periodontal plastic procedures to perform gum grafting for root coverage.
Since its introduction in 1994 over one million AlloDerm grafts have been successfully placed in various applications.
![]() |
| Gum Recession Stanmore Centre Of Dental Excellence |
![]() |
| What Is Alloderm Gum Grafting Downtown Dentistry |
![]() |
| Gum Grafting San Antonio Tx Oral Plastic Surgery Lorenzana Periodontics |
![]() |
| Gum Grafts And Surgeries Stouffville Smiles Dentistry |
![]() |
| Alloderm Grafting Lapointe Dental Centres Youtube |






Posting Komentar untuk "alloderm gum graft"